Upper & Lower Dentures


New Patients are always welcome

Complete Denture Procedure - How Custom Dentures Are Made


Preliminary impression are taken with an algaenate impression material. This will be taken out and poured into a stone model.

Image of Preliminary Denture Impression

A custom bite block is made for the upper and the lower arch to do the final impression. Border moulding is applied to allow us to get a precise and custom fit.

Image of Custom Bite Block

The Final Impression is made with an Elastomeric precision impression material. The facebow transfer allows us to transfer individual facial angles to our articulator (pic). With an arcus digma which is a computerized jaw tracking devise to allow for full range in motion of the upper and lower denture.

Image of Facebow Transfer

The Bennett Angle

Image of Bennett Angle

The Candular Angle

Image of Candular Angle

The Lateral Side Shift

Image of Lateral Side Shift

These 3 are all adjusted according to the calculations of the computer's assessment. The bite registration is made to determine the occlusal height (the biting distance) and the space and the relation between the upper and lower jaw.

Image of Bite Registration Determination

The anterior are selected according to the individual shape of the head and gender. The shade of the teeth are discussed with the patient to their individual taste and preference. The size of the teeth will depend upon the size of your mouth and jaw, and how your upper and lower jaws come together when you bite down. If you liked the way your natural teeth looked, bring in a photograph of you smiling with your natural teeth.

Image of Anterior Teeth For Custome Dentures

Posterior teeth are selected according to the ridge and the bone loss in the jaw.

Image of Posterior Teeth For Custome Dentures

A customized wax set-up is made for a try-in before the final denture is finalized.

Image of Customized Wax Denture Set-Up

At this appointment we invite clients to bring friends and/or loved ones to get feedback on the esthetics of the dentures. At this point we are still able to change and adjust the denture to the clients specifications on how it looks. We will only finish the dentures when both client and ptractisioner are completely satisfied with the wax set up. Then the denture is processed and finished.

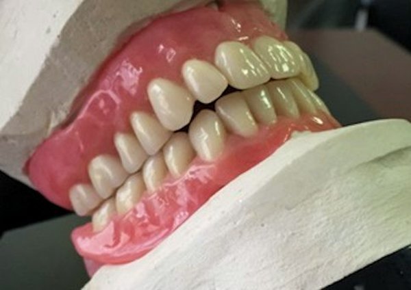
Completed Upper Denture.

Image of Custom Upper Denture

Completed Lower Denture

Image of Customized Lower Denture


About Us

At Enjoy Life Denture Centre your oral health is our number one priority.

  • If you have an emergency, Mike will see you with or without an appointment
  • If you are housebound, in hospital or in a nursing home, Mike will make house calls
  • No referral necessary

Hamilton

Enjoy Life Denture Centre
288 King St W.
Hamilton, ON
L8P 1B1
Hamilton: 289-389-4786

Oakville

Enjoy Life Denture Centre
2330 Lakeshore Rd W #3
Oakville, ON
L6L 1H3
Oakville: 905-337-1555

Burlington

Enjoy Life Denture Centre
3155 Harvester Rd Unit 301
Burlington, ON
L7N 3V2
Burlington: 416-347-2377